Subakromiale Dekompression | Impingement Syndrom | Schulterschmerz

Orthopädie 1010 Wien | subakromiale dekompression | Schulterschmerz

 

Das operative Verfahren der subakromialen Dekompression (SAD) dient dazu, den Raum zwischen dem Akromion (Schulterdach) und der Rotatorenmanschette zu erweitern, um eine mechanische Einklemmung (Impingement) zu beseitigen, Schmerzen zu reduzieren und die freie Beweglichkeit wieder herzustellen.

1. Gründe für die Subakromiale Dekompression

 

Chronisches subakromiales Impingementsyndrom, das auf konservative Therapie (Physiotherapie, Injektionen, Medikamente) über 3–6 Monate nicht anspricht.

 


 

Teilrupturen oder Reizungen der Rotatorenmanschette ohne komplette Ruptur.

 


 

Versagen konservativer Therapie (z. B. Physiotherapie, Injektionen)

 


2. Ziel Der Subakromialen Dekompression

  • Vergrößerung des subakromialen Raumes,

  • Entfernung entzündlicher und fibrotischer Strukturen,

  • Druckentlastung der Rotatorenmanschette und Bursa subacromialis (Schleimbeutel),

  • Wiederherstellung der freien Gleitbewegung zwischen Sehnen und Schulterdach.

3. Operations
vorbereitung zur Subakromialen Dekompression

beachchair lagerung

Lagerung

In Beach-chair-Position (Halbsitzend) oder Seitenlagerung.

Arm in leichter Abduktion und Innenrotation fixiert.

Anästhesie

Allgemeinanästhesie, häufig kombiniert mit interSkalenusblock (regionale Anästhesie)zur Schmerzreduktion postoperativ.

Antiseptische Vorbereitung

und sterile Abdeckung des Operationsfeldes

4. Operatives Vorgehen Subakromialer Dekompression

Schleimbeutel Schulter | Orthopäde 1010 | Dr. Ewald Timmel

Zugang

  • Einführung der Arthroskopkamera über den hinteren (posterioren) Zugang). Anlage eines weiteren seitlichen (lateralen) Portales.

  • Inspektion des Glenohumeralgelenks und des Subakromialraums, des Schleimbeutel und der Rotatorenmanschette

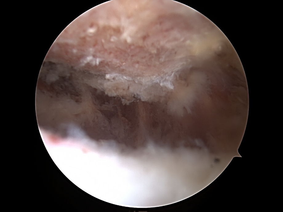
Schleimbeutel Schulter | Orthopäde 1010 | Dr. Ewald Timmel

Darstellung des Subacromialraumes

  • Die Kamera wird in den subacromialen Raum vorgeschoben.
  • Der oft entzündete Schleimbeutel (Bursa subacromialis) wird entfernt (Bursektomie), um Platz zu schaffen und die Sicht zu verbessern.

Dekompression

  • Mit einer Fräse oder einem Shaver wird das  Akromion Schulterdach von innen geglättet (Akromioplastik).
  • Gegebenenfalls wird auch das Coracoakromialband teilweise gespalten, um zusätzlichen Raum zu gewinnen.

         Ziel: Erweiterung des subakromialen Gleitraums für die Sehnen.

ac gelenkresektion von dr. timmel von ortho-timmel.at

Begleitmaßnahmen und Wundverschluss

  • Hautverschluss (Naht oder Klammern).
  • Steriler Verband.

Entscheidungskriterien für die Subakromiale Dekompression

Operative Subakromiale DekompressionKonservative Therapie bevorzugt

Beschwerden persistierend trotz adäquater konservativer Therapie (typisch ≥3–6 Monate),

und klarer mechanischer Befund.

Beschwerden < 3–6 Monate oder schwankender Verlauf → erst strukturierte konservative Therapie.
In Kombination z.B. mit Pathologie der RotatorenmanschetteIsolierte SAD nur in gut ausgewählten Fällen; häufig eher OP der Ursache (z. B. Rotatorenmanschettenrekonstruktion
Deutlicher Funktionsverlust (Arbeit/Schlaf/Alltag) trotz konservativer Therapie – und plausibler operativer Zielbefund. Erträgliche Einschränkung, Alltagsfunktion bleibt erhalten, Verbesserungstendenz.
Ausschöpfung konservativer Therapie dokumentiert  ohne ausreichende Funktions- und Schmerzverbesserung.Noch nicht ausgeschöpft: gezieltes Übungsprogramm (Rotatorenmanschette/Scapula), Belastungssteuerung, NSAR/Schmerztabletten, ggf. subakromiale Steroidinjektion bei starker Entzündung.
Realistische ErwartungenPatientenpräferenz zum Training

5. Rehabilitation und Nachbehandlung bei isolierter SAD

 

Phase 1 – Akutphase / Schutzphase (0–2 Wochen)

Ziele

  • Schmerz- und Entzündungsreduktion

  • Erhalt der Beweglichkeit

  • Vermeidung von Schonhaltungen

Maßnahmen

  • Armschlinge nur nach Bedarf (Tage, nicht Wochen)

  • Passive & assistive Bewegungen (Flexion, Abduktion, AR)

  • Pendelübungen

  • Scapula-Mobilisation

  • Kryotherapie, manuelle Therapie

Erlaubt

  • Alltagstätigkeiten unter Schulterhöhe

  • Schreiben, Essen, leichte Büroarbeit

Vermeiden

  • Überkopfbelastung

  • Krafttraining

 


 

Phase 2 – Bewegungsaufbau (2–6 Wochen)

Ziele

  • Wiedererlangen der vollen ROM

  • Wiederherstellung der scapulothorakalen Kontrolle

Maßnahmen

  • Aktive Bewegungen in allen Ebenen

  • Dehnungen (vordere Kette, dorsale Kapsel)

  • Isometrische Übungen Rotatorenmanschette

  • Scapula-Stabilisation (z. B. Serratus anterior, Trapezius)

Erlaubt

  • Alltagsbewegungen inkl. moderater Schulterhöhe

  • Leichte Haushaltsarbeiten

Vermeiden

  • Maximalkraft

  • Schnelle Überkopfbewegungen

 


 

Phase 3 – Kräftigung & Funktion (6–10 Wochen)

Ziele

  • Kraftaufbau Rotatorenmanschette

  • Dynamische Schulterstabilität

  • Belastbarkeit im Alltag

Maßnahmen

  • Dynamische Kräftigung (Theraband, leichte Gewichte)

  • Exzentrisches Training

  • Propriozeption / Koordination

  • Funktionelle Bewegungsmuster

Erlaubt

  • Heben leichter–mittlerer Lasten

  • Sportliche Belastung unter Schulterhöhe

 


 

Phase 4 – Belastungsaufbau / Return to Activity (10–12 Wochen)

Ziele

  • Vollständige Belastbarkeit

  • Rückkehr zu Arbeit & Sport

Maßnahmen

  • Überkopfbelastungen progressiv

  • Sportartspezifisches Training

  • Plyometrische Elemente (bei Bedarf)

Erlaubt

  • Überkopfsport & schwere Arbeit bei Beschwerdefreiheit

Nach isolierter SAD entscheidet nicht die OP, sondern oft die Reha über den Erfolg.

FAQ

Die Operation dauert ca. 40 Minuten, je nachdem ob Zusatzeingriffe nötig sind.

Arbeits- und Sportfähigkeit

  • Bürotätigkeit: nach 1–2 Wochen

  • Leichte körperliche Arbeit: nach 4–6 Wochen

  • Schwere körperliche Arbeit / Überkopfbelastung: nach 3–4 Monaten

  • Sport (ohne Überkopf): ab 6–8 Wochen

  • Überkopfsport (z. B. Handball, Tennis): meist 3–6 Monate

Der Aufenthalt nach der Operation dauert meist 1-2 Tage.

Außerst seltene Komplikationen:

  • Bewegungseinschränkung / Schultersteife
  •  Infektion
  • Postoperative Schmerzen
  • Physiotherapie: meist 6–12 Wochen

  • Arbeitsfähig: Büro 1–2 Wochen, körperlich 6–12 Wochen

  • Sportfähig: meist nach 8–12 Wochen, Überkopfsport bis 3–6 Monate

  • Zu lange Ruhigstellung

  • Zu frühe Überkopfbelastung

  • Fehlende Scapula-Kontrolle

  • Passives „Durchbewegen“ ohne aktives Training